Cazuri clinice ortodontie: peste 3.500 de cazuri finalizate
Cei mai multi pacienti exprima dorinta de a vedea exemple ale rezultatelor obtinute intr-o clinica stomatologica sau ortodontica din Timisoara, chiar daca nu intotdeauna au acces la astfel de informatii. Motivul este simplu: ei doresc să evalueze abilitatile ortodontului care va gestiona cazul lor si sa obtina o perspectiva asupra rezultatului final.
In acest sens, va prezentam cateva cazuri tratate la Orto Clinic by dr. Tas Razvan, oferindu-va astfel o privire asupra muncii noastre și a rezultatelor obtinute. Nu ne laudam, dar am finalizat peste 3.500 de cazuri.

Cazuri clinice ortodontie: peste 3.500 de cazuri finalizate
PACIENTI FERICITI din clinica noastra
Durata tratamentului ortodontic cu aparat dentar metalic, aplicat pe ambele arcade: 1 an și 7 luni. Varstă pacientei: 25 ani.
Pe langă estetica dentara si faciala mult îmbunatatita, ocluzia deschisă (spatiu existent intre arcadele dentare atunci când pacientul inchide gura) a fost corectata.
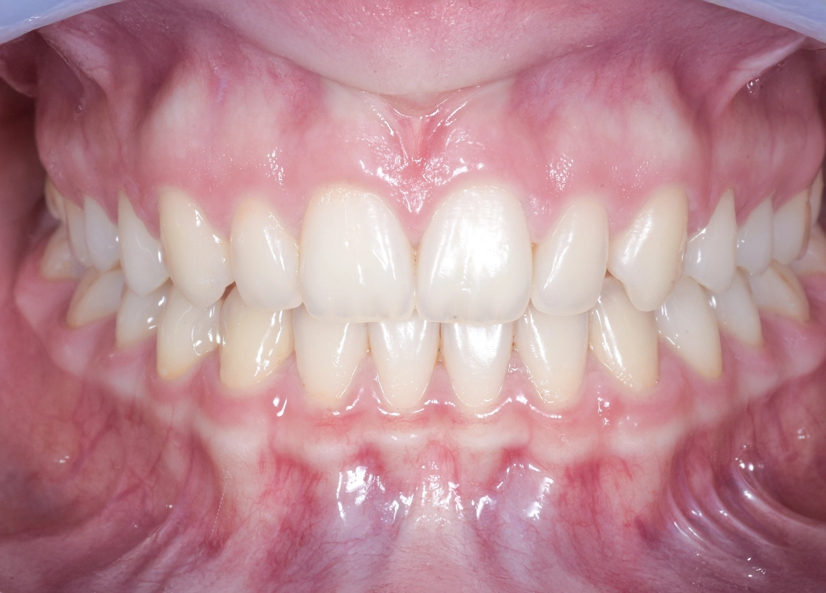
Durata tratament ortodontic cu aparat dentar metalic, aplicat pe ambele arcade: 1 an (12 luni!). Varsta pacienta: 15 ani.
Felicitari, Daria! Un rezultat stabil si functional alaturi de o estetică dentara de invidiat!
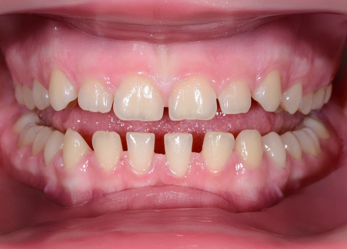
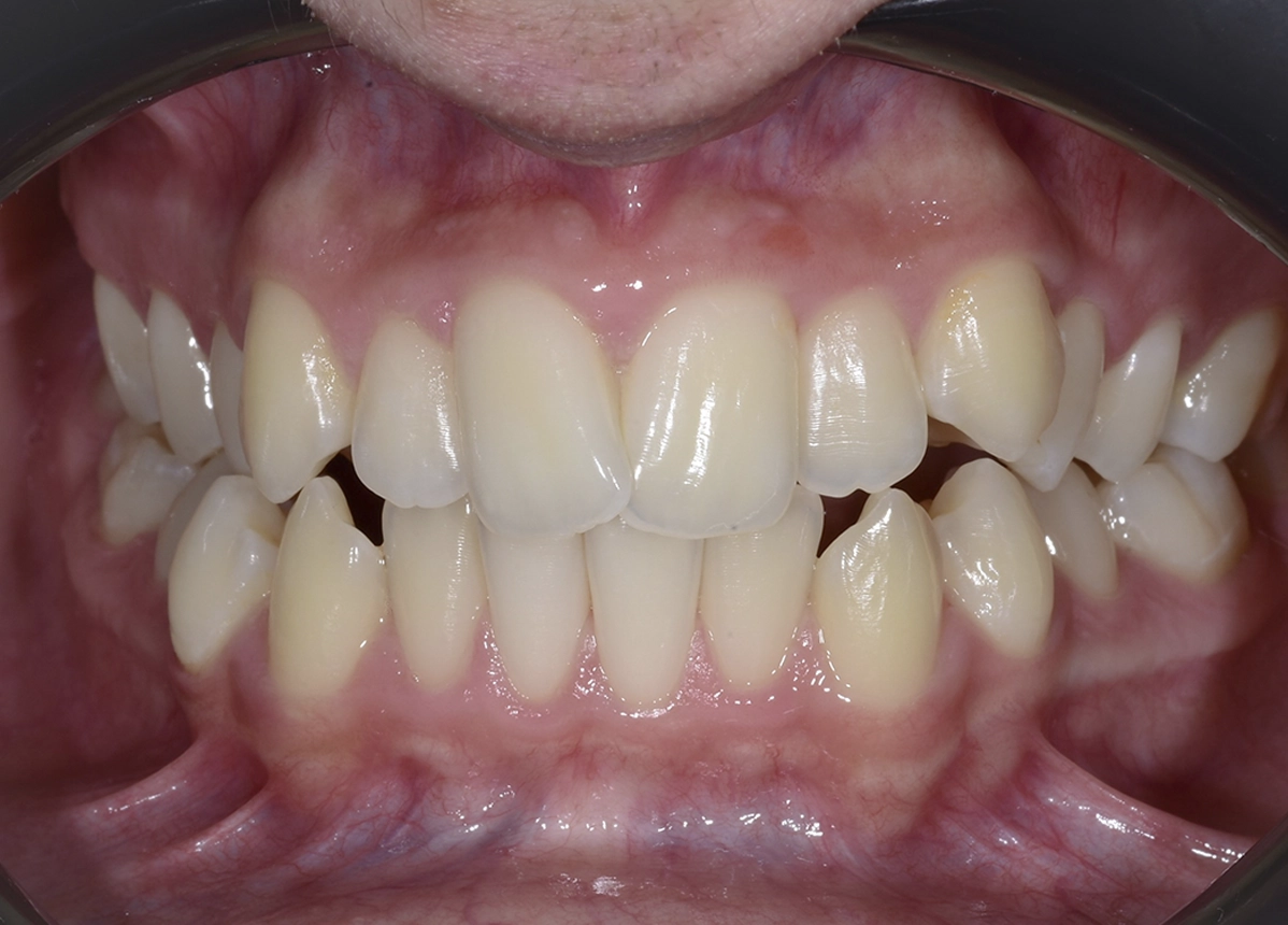
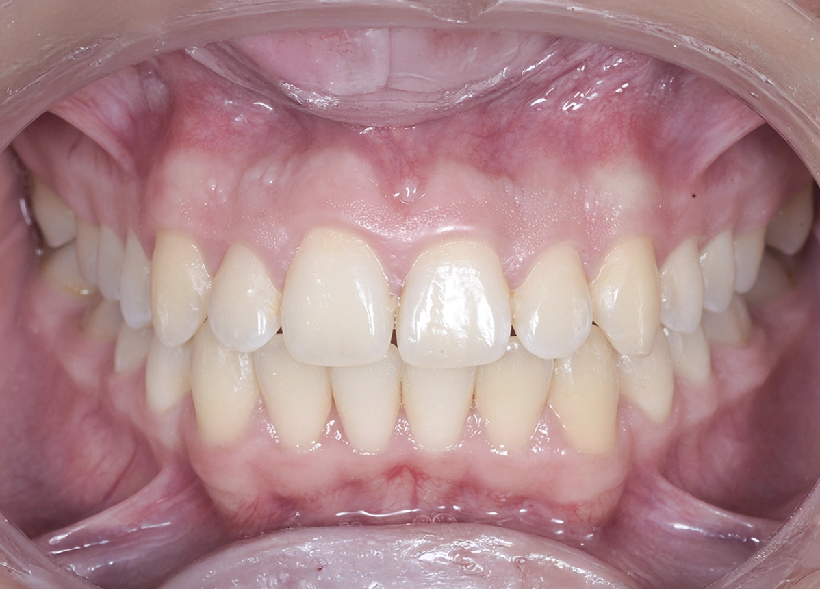
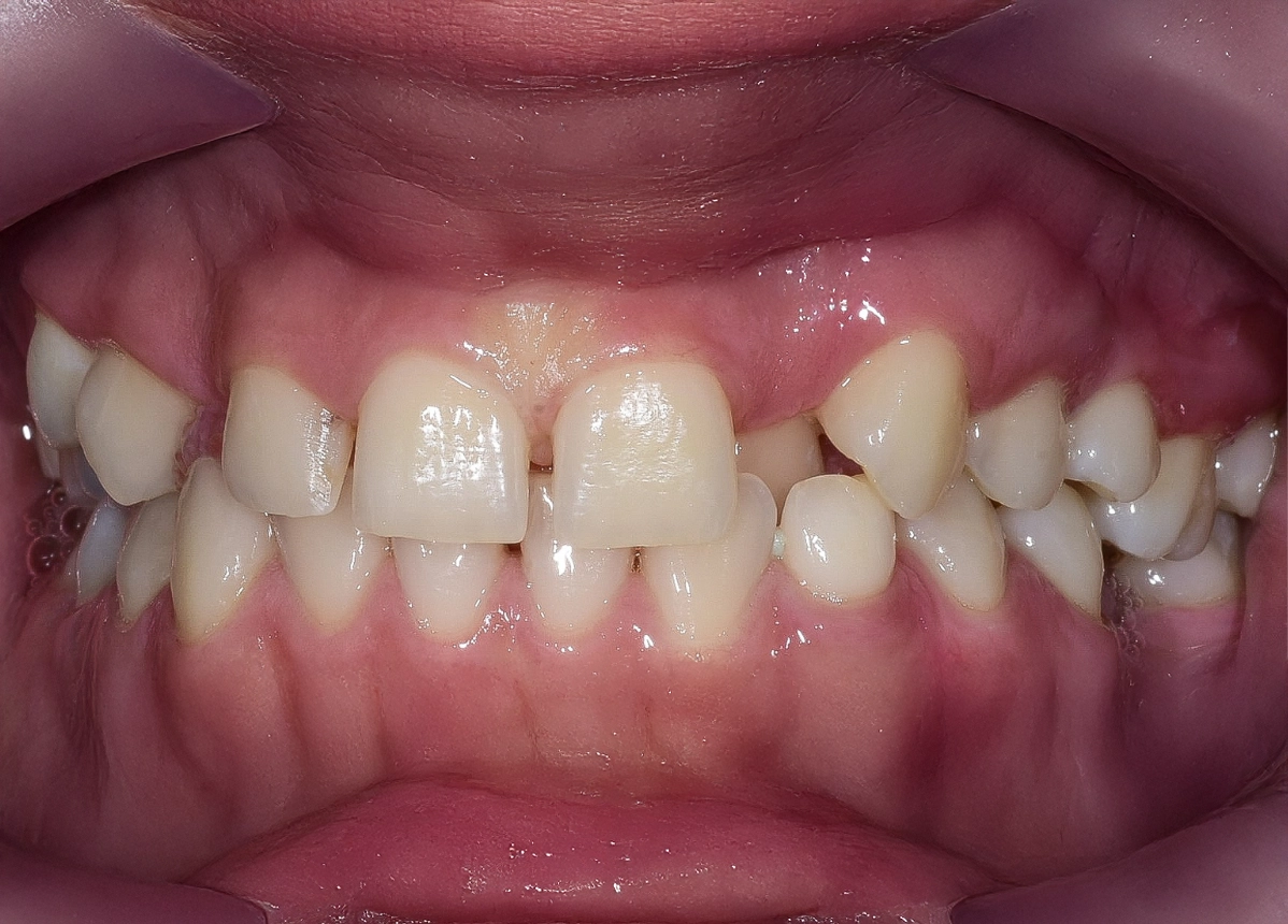
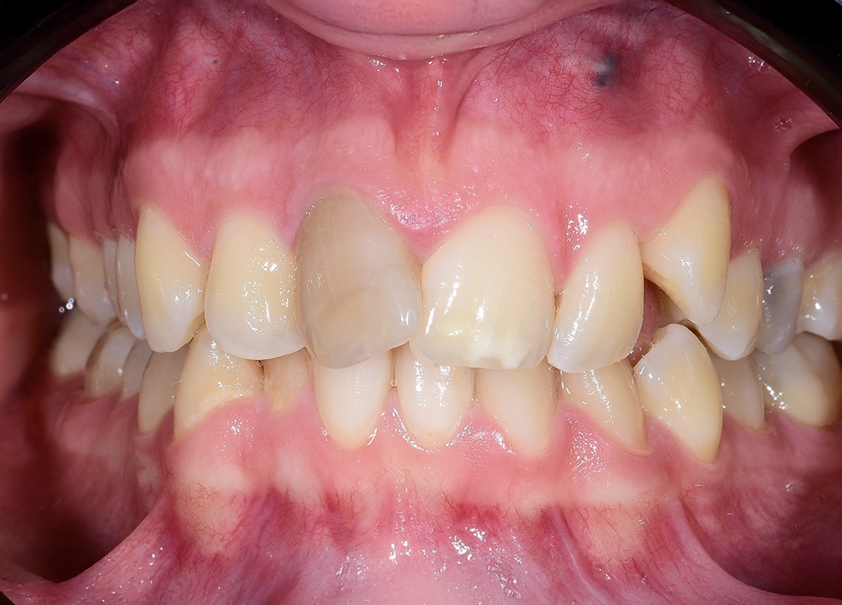
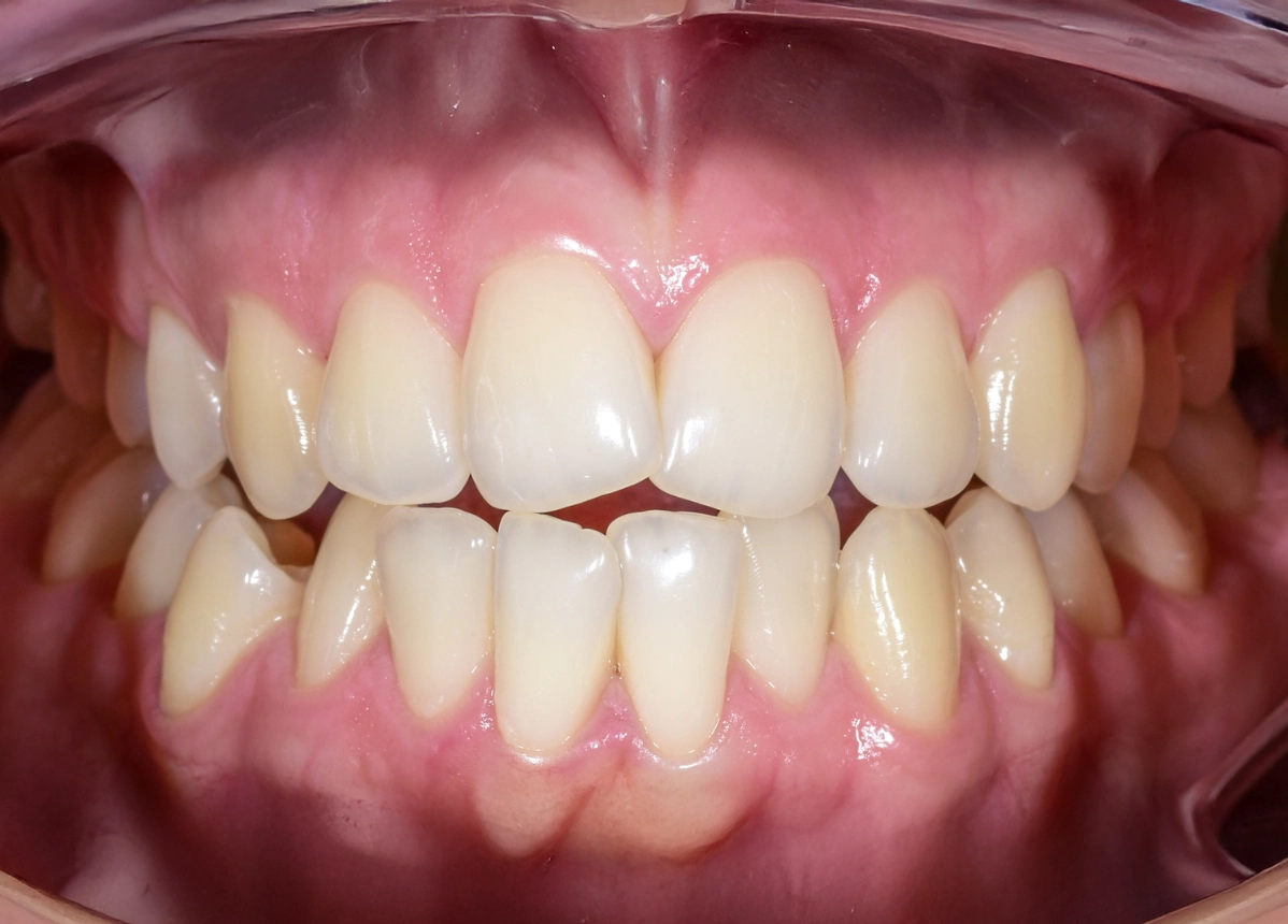
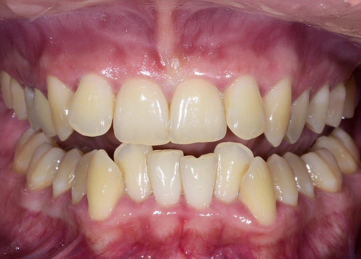
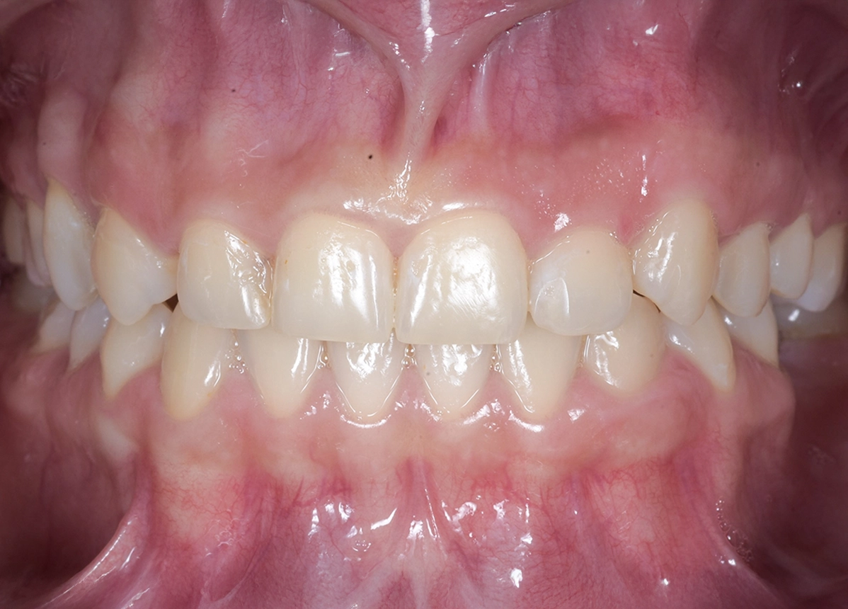
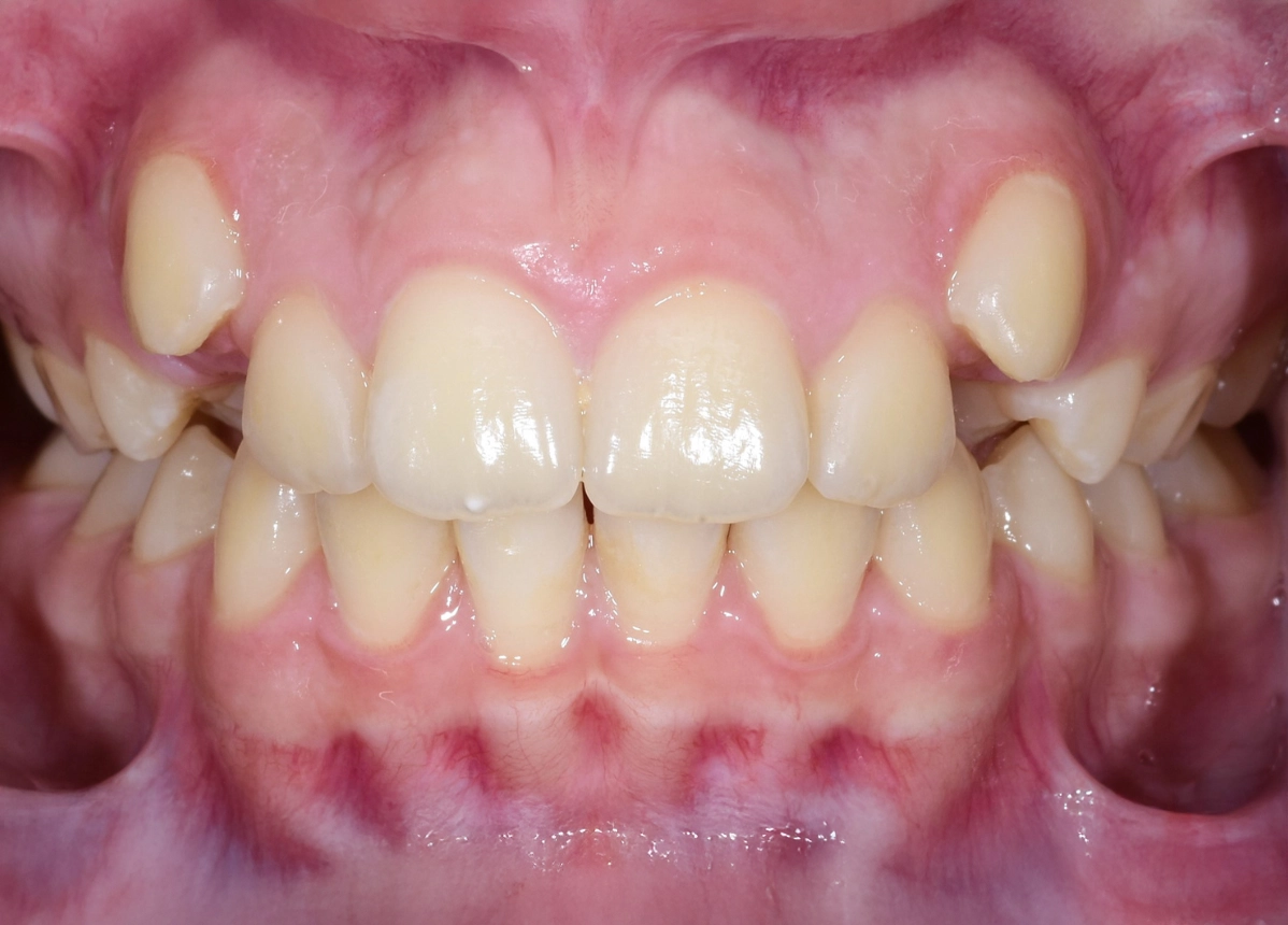
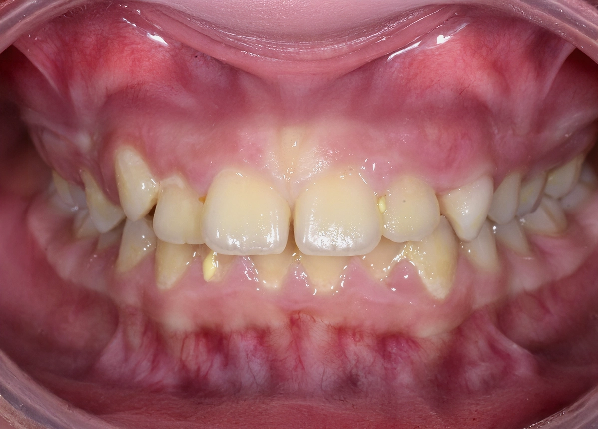
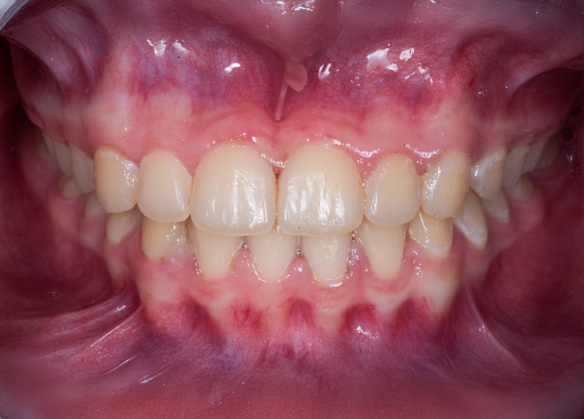
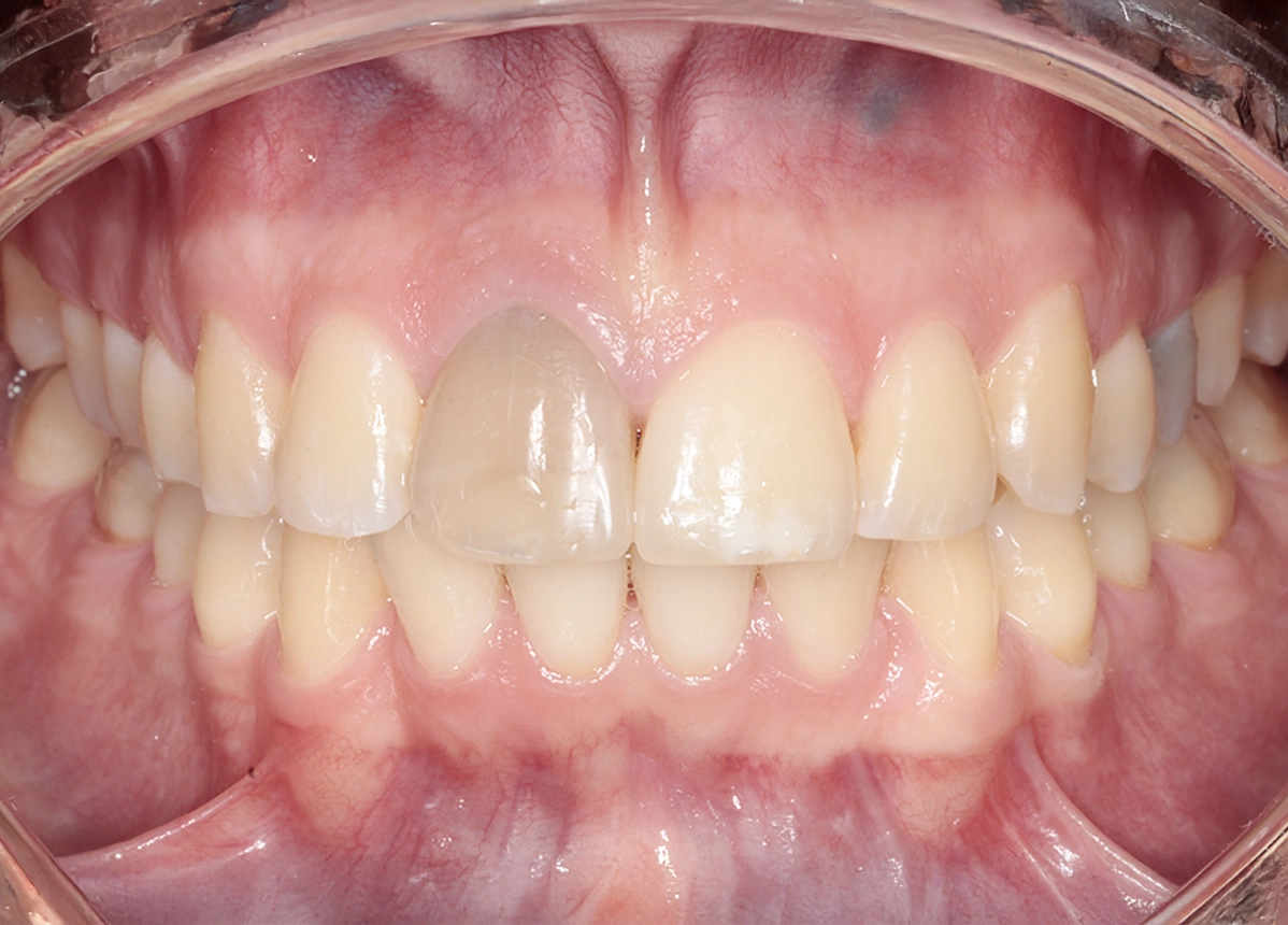
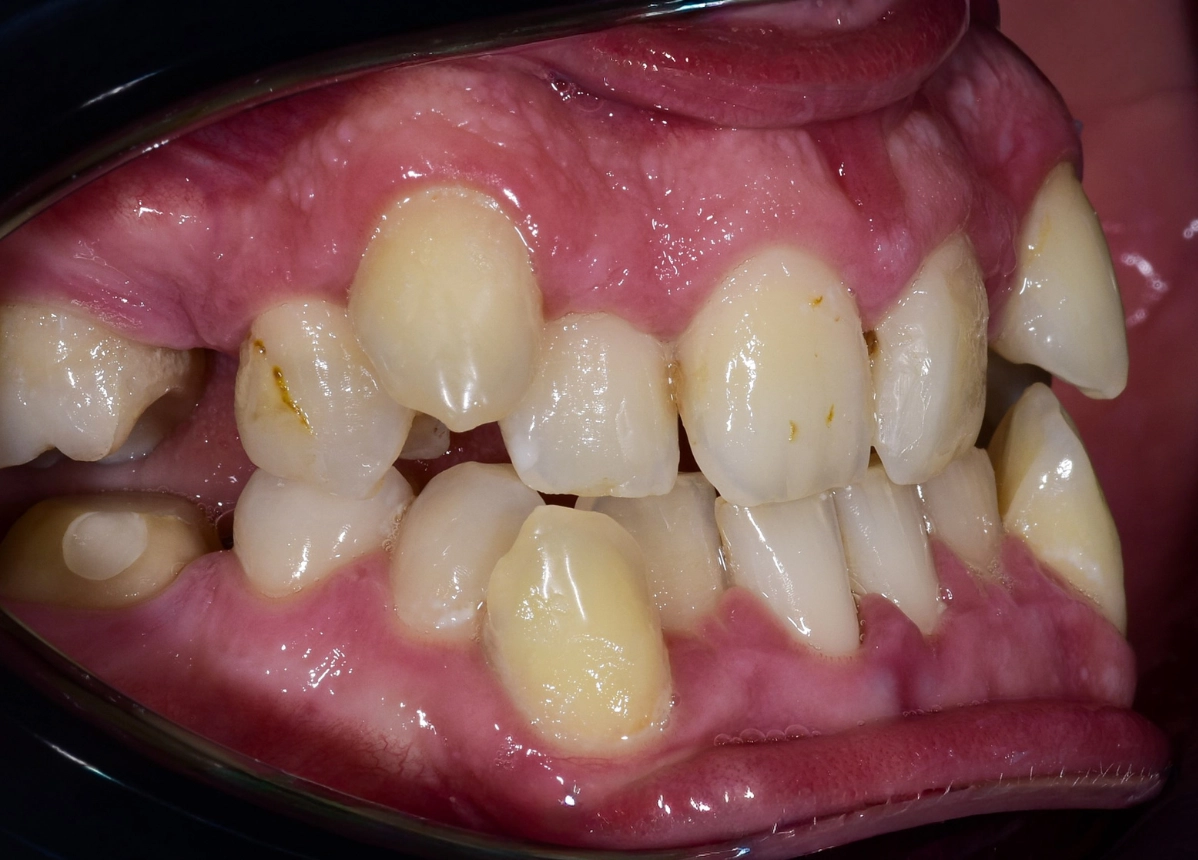
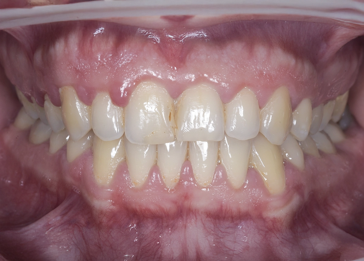
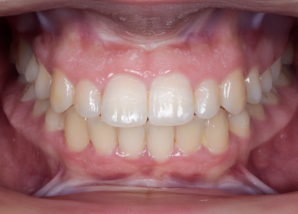
Caninii ectopici (canini situati în exteriorul arcadelor dentare, spre buza), reprezinta una dintre cele mai comune probleme ortodontice cu care ne confruntam in practica de zi cu zi. Indreptarea caninilor/alinierea lor fara un diagnostic si plan de tratament corect, poate duce la o protruzie dentara (dintii superiori proeminenti)
Durata tratament ortodontic cu aparat dentar metalic, aplicat pe ambele arcade: 1 an și 6 luni. Varsta pacient: 25 ani.
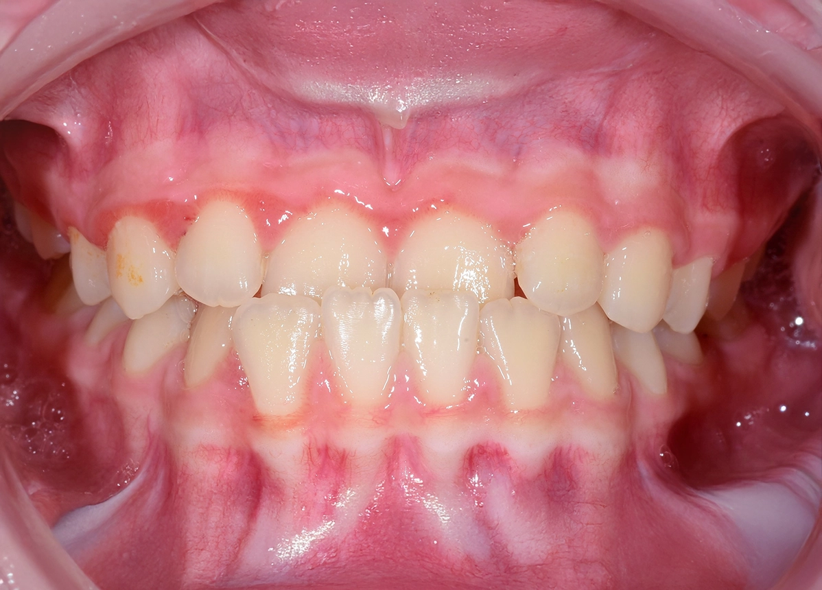
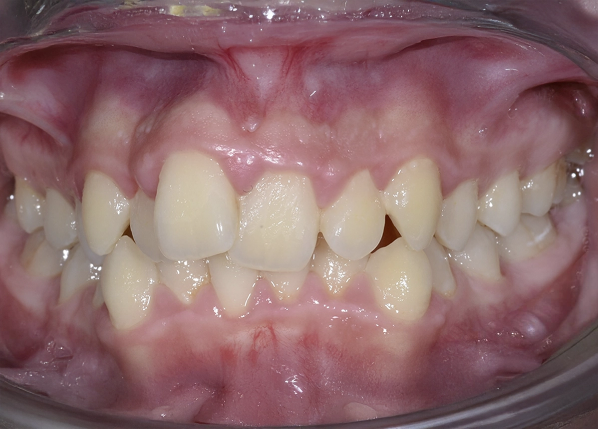
Ocluzia/muscatura adancă. Cum o identificam? Simplu: dintii superiori ii acopera in totalitate pe cei de jos.
Dragos a luat decizia corecta și a început un tratament ortodontic. Rezultatul? O estetica mult imbunatatita si mai important: o ocluzie functionala, atraumatica.
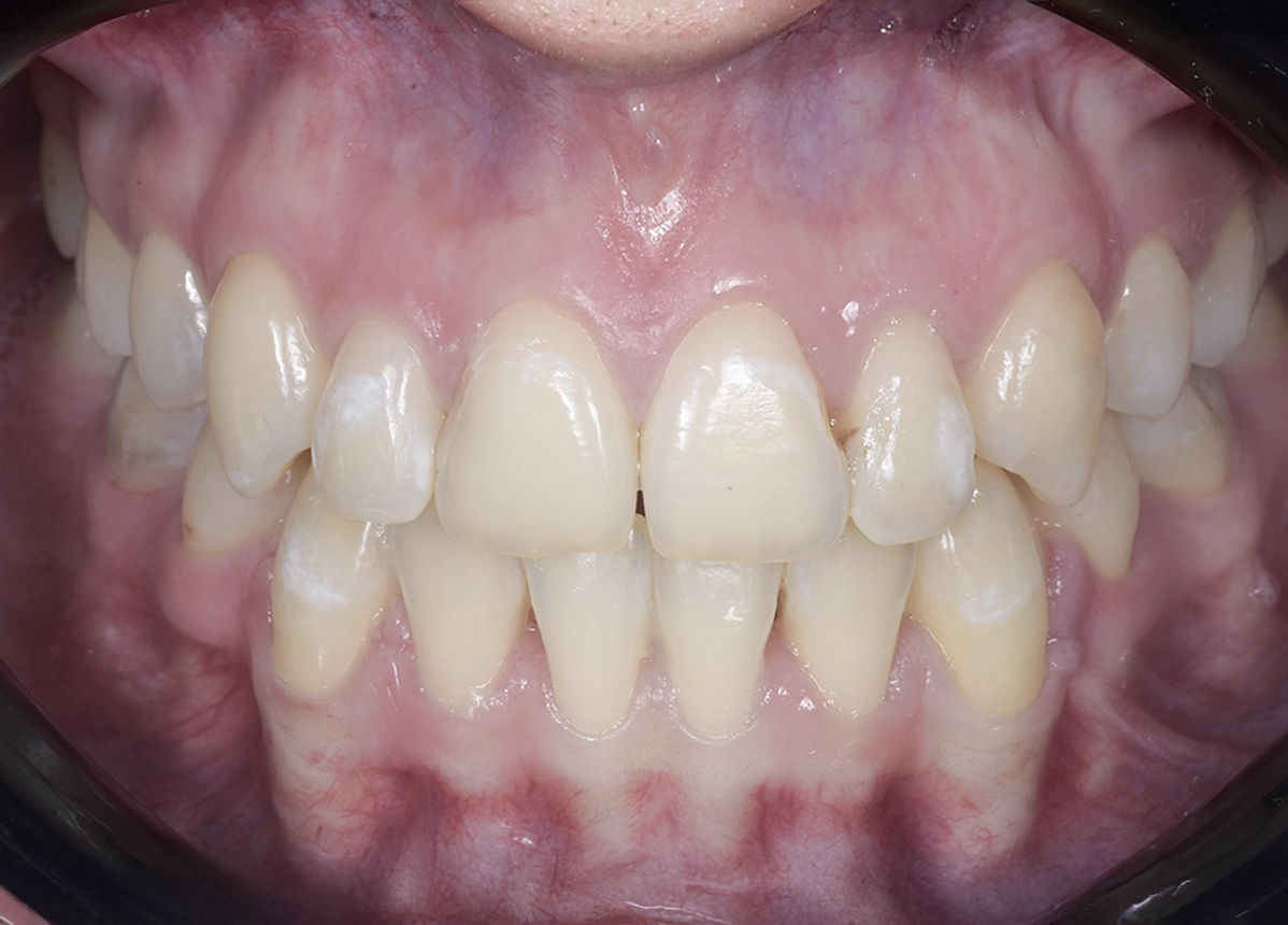
Durata tratament ortodontic cu aparat dentar metalic, aplicat pe ambele arcade: 1 an (12 luni!). Varstă pacienta: 16 ani.
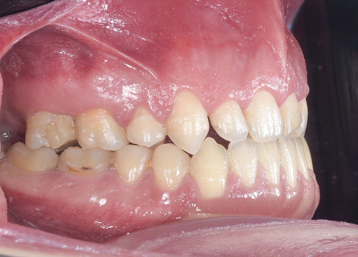
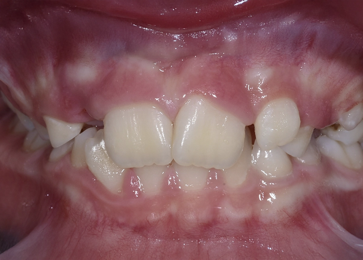
Una dintre cele mai complicate, imprevizibile si lipsita de predictibilitate situatie din practica ortodontica, se refera la caninii incluși. De ce raman inclusi? Cel mai adesea pentru ca nu au spatiul necesar pentru eruptie. Tocmai din acest motiv recomandam consultul ortodontic începand cu varsta de 6-7 ani!
Un tratament perfect, rapid prin care am redat functia aparatului dento-maxilar, dar si estetica dentara și faciala.
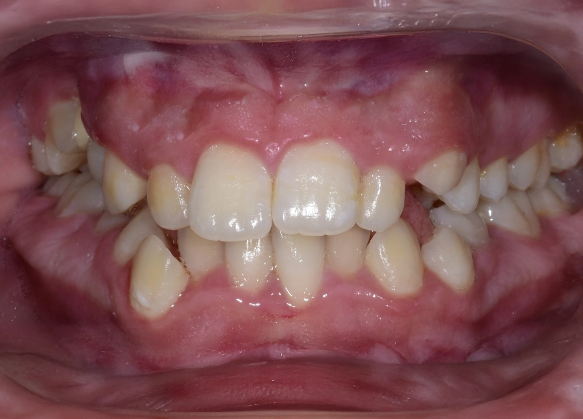
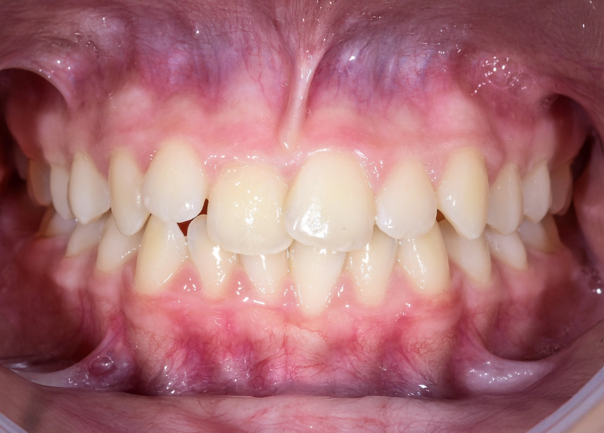
Durata tratament ortodontic cu aparat dentar metalic, aplicat pe ambele arcade: 1 an. Varstă pacienta: 15 ani.
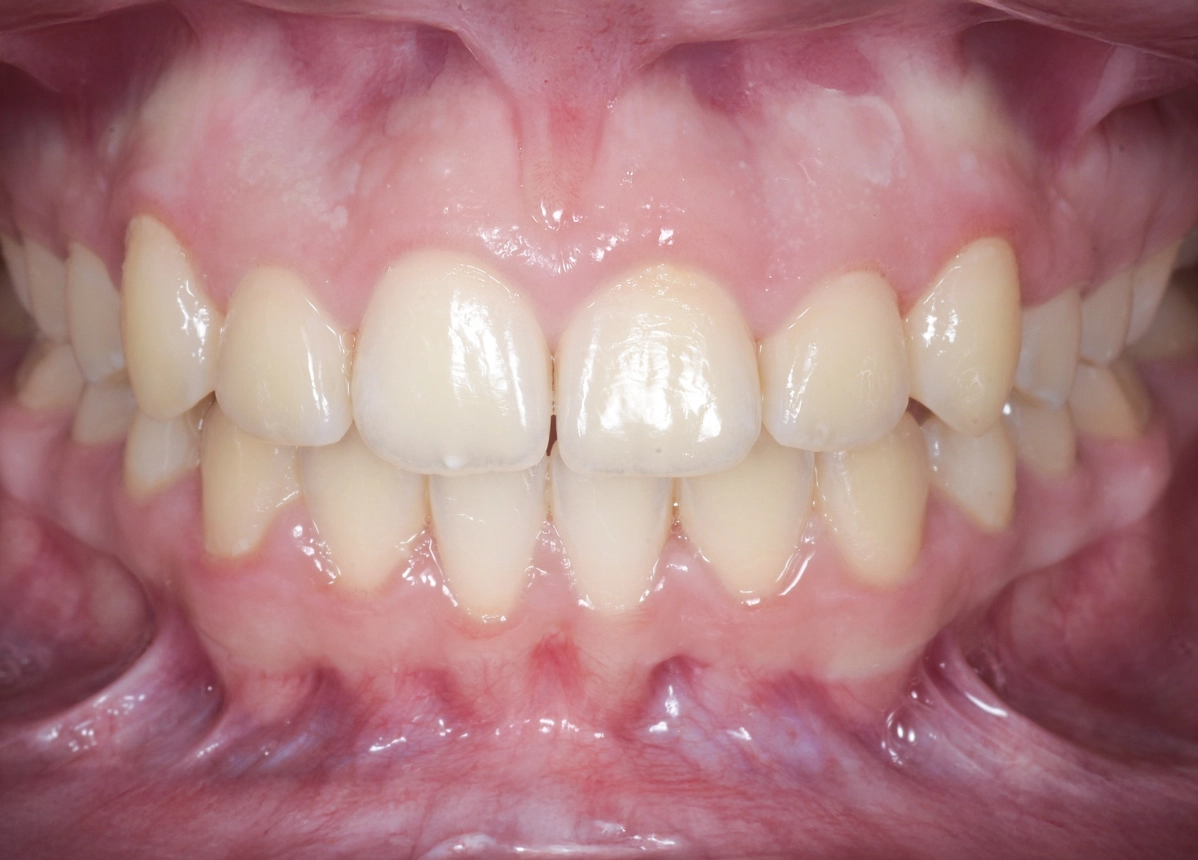
Inghesuirile dentare usoare: simplu de corectat cu orice fel de aparat, durata minima de tratament, disconfort minim, efect before/after spectaculos.
Felicitari, Emima!
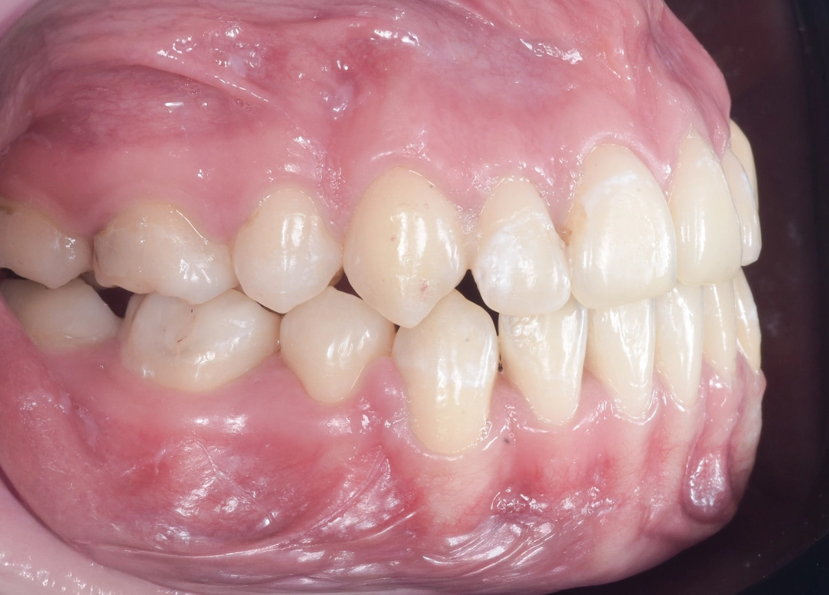
Durata tratament ortodontic cu aparat dentar metalic, aplicat pe ambele arcade: 1 an și 4 luni. Varsta pacienta: 28 ani.
De cele mai multe ori, cazurile ortodontice ale adultilor, au nevoie de o echipa multidisciplinara. Chiar dacă rezultatul ortodontic este perfect, pacientul nu este multumit pentru ca este nevoie de mai mult: obturatii dentare, estetica dentara (albire dentara, fatete dentare), implanturi dentare etc.
Ileana s-a prezentat la control dupa 2 ani de la îndepartarea aparatului dentar si totul este perfect! Felicitari!
Durata tratament ortodontic cu aparat dentar metalic, aplicat pe ambele arcade: 1 an și 4 luni. Varsta pacienta: 15 ani.
Felicitari, Ariana! Un rezultat stabil și functional alaturi de o estetica dentara de invidiat!
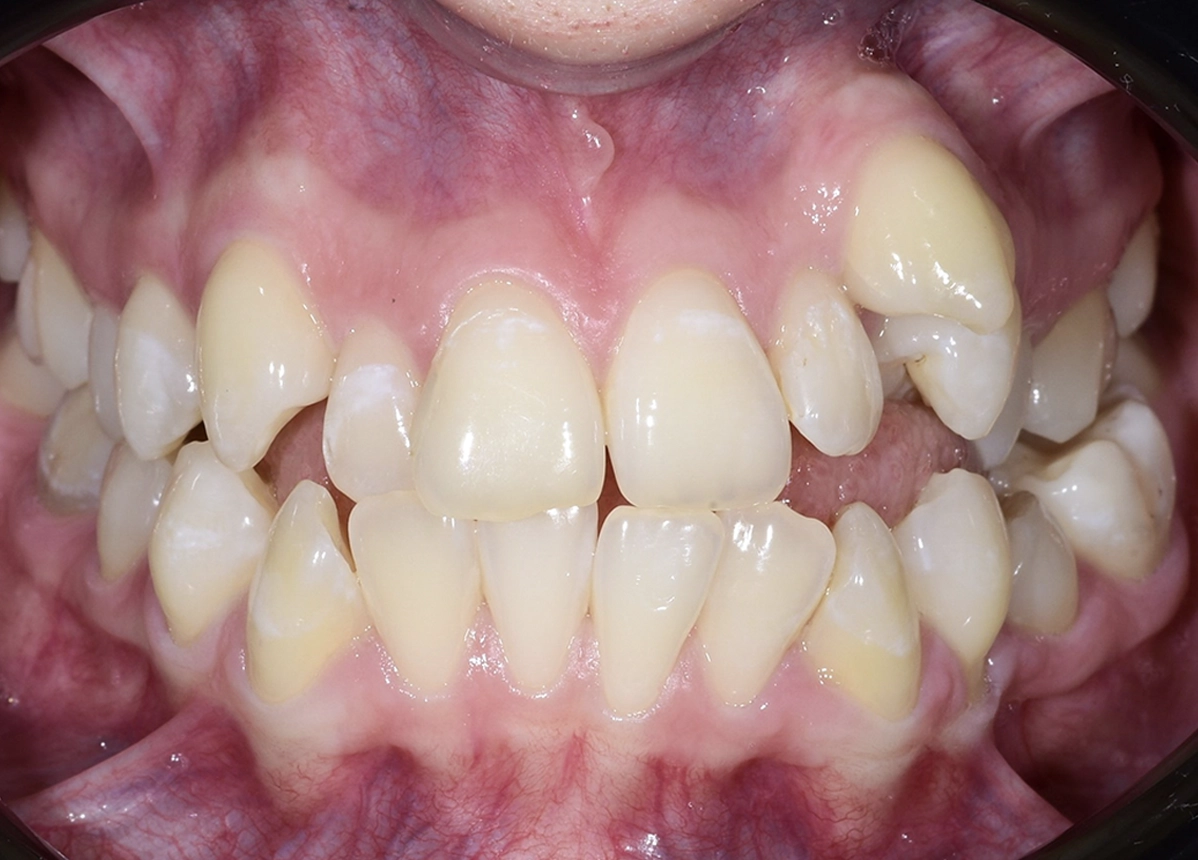
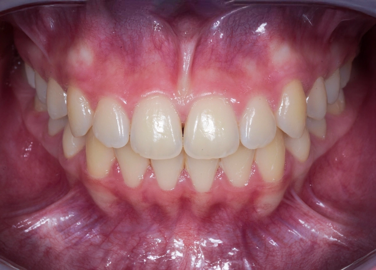
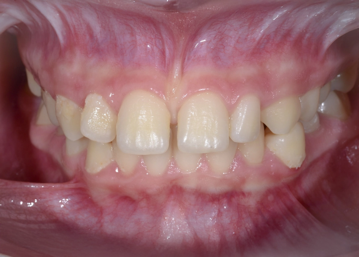
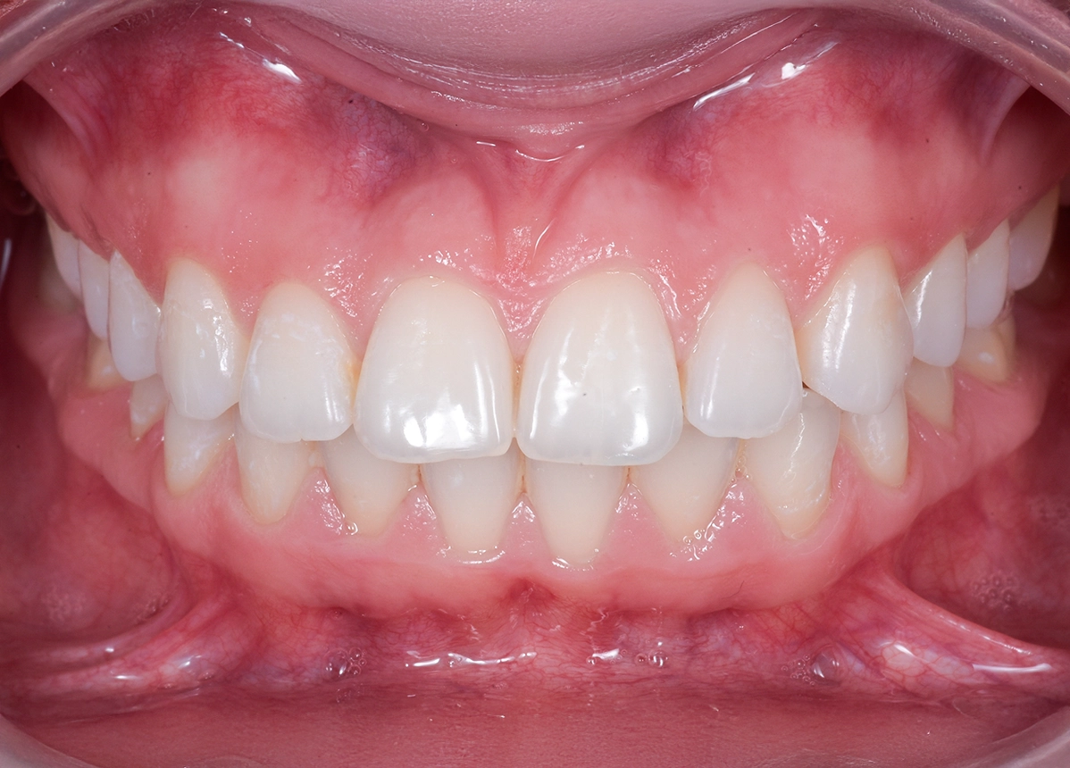
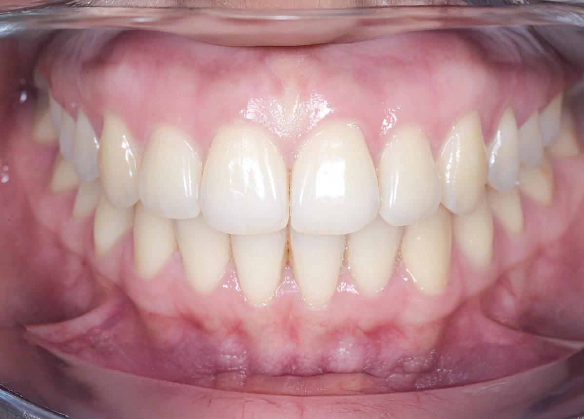
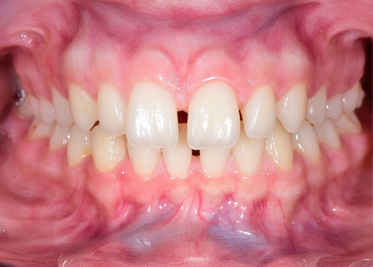
Caninii ectopici (canini situati in exterior, spre buza), reprezinta una dintre cele mai comune probleme ortodontice cu care ne confruntam in practica de zi cu zi. Indreptarea caninilor/alinierea lor fara un diagnostic si plan de tratament corect, poate duce la o protruzie dentară (dinti proeminenti).
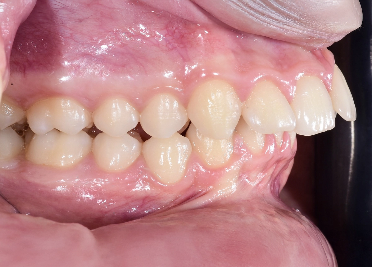
Durata tratament ortodontic cu aparat dentar metalic, aplicat pe ambele arcade: 1 an si 6 luni. Varsta pacienta: 28 ani.
Inghesuirile dentare usoare: simplu de corectat cu orice fel de aparat, durata minima de tratament, disconfort minim, efect before/after spectaculos. Felicitari, Roxana!
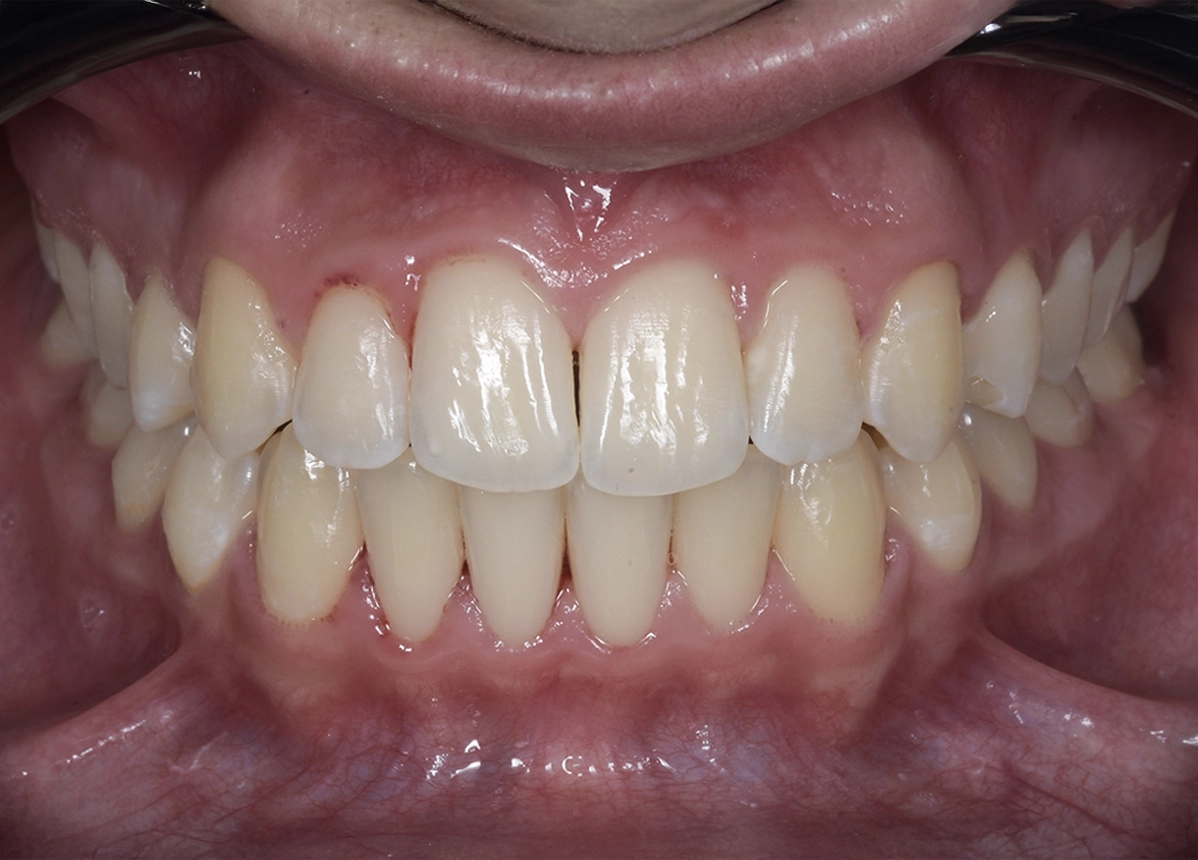
Durata tratament ortodontic cu aparat dentar metalic, aplicat pe ambele arcade: 11 luni. Varsta pacienta: 21 ani.
Unul dintre principalele motive de ingrijorare cand vine vorba despre aparatele dentare, este legat de recidiva. Beatrice s-a prezentat la control după 2 ani de la indepartarea aparatului dentar si totul este perfect! Felicitari!
LASĂ-NE NUMĂRUL DE TELEFON
te sunăm pentru programarea unui consult
Datele tale de contact vor fi prelucrate conform politicii de confidențialitate care poate fi consultată aici.
